
대상포진 초기증상
최근 시국이 시국인지라 많은 사람들이 면역력에 대해서 관심을 많이 가지고 있는 것 같습니다. 아무래도 면역력이 약한 사람들 보다는 강한 사람들이 바이러스에 노출되어도 견뎌 낼 수 있는 힘도 더욱 강할 뿐만 아니라 여러가지로 건강하다는 신호라고 볼 수도 있기 때문 일텐데요.
오늘은 면역력이 약해지면 발생할 수 있는 대상포진 초기증상에 대해서 알아보려고 합니다. 과거에 제가 알고 있는 지인도 증상을 겪으면서 상당히 고생하다가 회사 근처의 라파엘 신경과가 있어서 이곳에서 정기적으로 치료를 받으면서 완쾌할 수 있었는데요. 제가 직접 겪어보지 못해서 함부로 공감할 수는 없겠지만 그 통증이 엄청나다는 것은 어느정도 잘 알고 있습니다.
그래서 오늘은 대상포진 초기증상과 원인 그리고 해결방법과 예방법에 대해서 꼼꼼하게 살펴보도록 하겠습니다.
대상포진?
다른 말로 수두 바이러스라고도 하는데 유년시절에 수두를 앓았을 경우에는 수두가 나았다고 해서 성인이 되어서 발생하지 않는다고 확실할 수는 없다고 합니다. 수두바이러스가 평생 신경조직 안에서 숨어 있다가 만성피로나 인체 내부의 기능장애로 인해서 면역력이 떨어졌을 때 대상포진의 형태로 발현된다고 합니다.
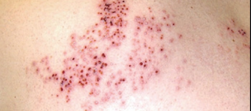
띠 모양의 발진이라는 뜻을 가지고도 있는데 피부의 특정한 곳에 통증과 함께 신경라인을 따라서 줄무늬 모양의 수포들이 발생하는 것이 특징입니다. 통증은 매우 심하다고 알려져 있으며 주요 원인은 수두 대상포진 바이러스 때문이라고 하네요.
전 세계적으로 발생 비율은 1천명당 1~4명꼴로 65세 이후에는 더욱 비율이 증가한다고 알려져 있습니다.

대상포진 원인
여러가지 원인들이 있겠지만 대체로 지금부터 소개해드릴 5가지 원인 내에서 발생하는 경우가 압도적으로 많다고 하니 나는 해당사항이 없는지 한번 살펴보시는 것도 도움이 될 것 같습니다. 혹은 대상포진 초기증상을 겪는 듯한 느낌이 드신다면 꼼꼼하게 읽어보세요.
1. 50세 이상의 고령자
2. 스트레스 지수가 높은자
3. 장기 이식을 받았거나 줄기세포 이식 경험자
4. 에이즈나 암 또는 홉킨스 병 보유자
5. 면역체계 약화: 에이즈나 항암제 혹은 스테로이드
위의 원인들로 인해서 대상포진이 발현될 수 있다고 합니다. 가장 모호한 부분은 스트레스 지수가 높은 경우인것 같으며 그 외에는 면역력을 떨어트릴 수 있는 원인제공을 할만한 요소들이 하나씩 포함되어 있는 것 같아요.
대부분 강한 약물치료를 동반하는 과정에서 면역체계가 약해지기 시작하고 이로 인해서 대상포진의 위험성도 함께 높아지는게 아닌가 싶습니다. 이번에는 대상포진 초기증상들에 대해서 알아보도록 하겠습니다



1. 물집
대표적으로 작은 쌀알같은 수포들이 많이 발생하게 되는데 흔히 물집이 잡힌다 라고도 표현합니다. 통증이 본격적으로 시작되고 나서 3일 정도가 지나게 되면 통증이 있던 부위를 중심으로 피부에 물집이나 발진과 같은 증상들이 나타나게 됩니다. 이는 인체의 다양한 부위에서 불규칙적으로 발생하며 주로 몸통이나 머리에서 많이 발생한다고 하네요.

2. 불편감
가장 최초에 발견되는 증상은 피부에 불쾌감이 느껴지기 시작하면서 몸의 한쪽 편으로 편측성 통증들이나 감각 이상이 발견된다고 합니다. 이런 전조증상을 통해서 대상포진 초기증상을 어느정도 예상할 수 있겠죠. 특징은 양쪽이 아닌 한쪽에만 심한 통증이 동반 하니 조금 특이하긴 합니다.

3. 발병 7~14일 경과
이때부터는 피부 표면에 발생했던 수포들이 점점 고름이 차기 시작하면서 색깔이 탁해지는 것이 특징 입니다. 이는 초기증상에서 어느정도 진전된 상태로 딱지 형태로 수포에서 변환이 된다고 합니다. 이쯤 되면 이미 치료를 받고 있는 경우들이 많으며 어느정도 증상이 1개월 정도 시간이 흐르게 되면 정상적으로 되돌아 오는 편이 많지만 통증은 몇달 혹은 몇년 까지도 지속될 수 있다고 하네요.



4. 안구질환
단순히 피부에만 문제를 일으키는 것이 아니라 뇌나 안구까지도 침투를 할 수 있는 무서운 질병입니다. 높은 확률로 얼굴 쪽에 대상포진이 발병할 수 있는데 이럴 경우에는 심각한 연계 손상을 유발할 수 있기 때문에 반드시 초기증상이 어느정도 감지된다면 참지 마시고 병원에 내원하셔서 정밀검사를 받으시는 것이 안전 하겠습니다.
대상포진 초기증상 예방방법
지인이 회사 근처 라파엘 신경과에서 치료를 받을때도 항상 의사분이 강조하셨던 게 예방접종을 잘 받았으면 이렇게 고생하지 않을 수 있었다고 하시더라구요.
가장 기본적인 예방법이기도 한 예방접종은 약간의 면역 반응이 있을 수는 있겠지만 중년, 특히 50세 이상의 고령자들에게는 반드시 선택이 아닌 필수 라는 것을 꼭 아셔야만 합니다.
그리고 예방접종을 받게 되면 감기증상이나 관절통 혹은 두통과 같은 면역반응이 있을 수 있다고 말씀 드렸는데 이는 일시적인 경우가 많기 때문에 너무 걱정하지 않으셔도 된다는 말씀을 드리고 싶습니다.
당연히 예방접종만으로 모든 리스크를 관리한다는 생각은 버리셔야 합니다. 완벽한 예방은 얼마나 평소에 꾸준하게 관리를 하는지에 따라 달라질 수 있습니다.
면역력이 좋은 수준으로 유지하기 위해서 영양상태를 항상 좋은 컨디션으로 유지해야 하고 스트레스 관리를 나름대로의 방법으로 해소 하면서 규칙적인 운동을 통해 체력관리를 하는것이
함께 읽으면 좋은 글
(클릭 및 터치로 이동)
2020/06/27 - [건강정보 [ Health information]] - 남성갱년기증상 극복법
2020/06/15 - [건강정보 [ Health information]] - 애정결핍 증상 치료와 자가진단
2020/06/14 - [건강정보 [ Health information]] - 임산부친환경농산물 꾸러미 가이드
2020/06/07 - [건강정보 [ Health information]] - 잔대 효능과 부작용
2020/06/06 - [건강정보 [ Health information]] - 대장암 초기증상과 좋은음식
2020/06/01 - [건강정보 [ Health information]] - 번아웃 증후군 테스트 자가진단
'건강정보 [ Health information]' 카테고리의 다른 글
| 더위먹은 증상 하나씩 알아봐요 (0) | 2020.06.28 |
|---|---|
| 20대 췌장암 초기증상 (0) | 2020.06.28 |
| 남성갱년기증상 극복법 (0) | 2020.06.27 |
| 2020 초복 날짜 (0) | 2020.06.17 |
| 애정결핍 증상 치료와 자가진단 (0) | 2020.06.15 |
댓글